Kontakt Zum Seiteninhalt springen

CEREC®

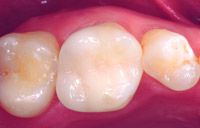
Bei CEREC® handelt es sich um eine computergestützte Technik zur abdruckfreien und „schnellen“ Herstellung von ästhetischem und metallfreiem Vollkeramik-Zahnersatz. Patienten gehen manchmal noch am selben Tag mit ihrem „neuen Zahn“ nach Hause! Mit CEREC® können wir zum Beispiel Inlays, Kronen und Veneers (Verblendschalen) herstellen.

Die Vorteile von CEREC®:

  • Hochästhetische, natürliche Wirkung: Die verwendete Vollkeramik sorgt mit ihrer leichten Lichtdurchlässigkeit und der lebhaften Farbwirkung dafür, dass der neue Zahnersatz nahezu wie ein echter Zahn aussieht. Es können außerdem keine dunklen Kronenränder entstehen, die sonst meist im Lauf der Zeit auftreten.
  • Kein Abdruck: Der für viele Patienten unangenehme herkömmliche Abdruck (mit Abdrucklöffel und -masse) entfällt. Ebenso wird ein eventueller Würgereiz vermieden. Der Abdruck bei CEREC® mittels intraoralem Scanner bzw. Kamera erfolgt stattdessen digital und berührungsfrei!
  • Kürzere Behandlungszeit: Manchmal ist es möglich, die komplette Behandlung (einschließlich dem Einfügen des Zahnersatzes) in nur einem Termin durchzuführen. In diesem Fall ist auch nur eine lokale Betäubung nötig.
  • Biologische Verträglichkeit: Vollkeramik ist metallfrei und daher verträglich und sehr gut für Allergiker geeignet.
  • Kein Provisorium: Ein Zahnprovisorium, wie es bei der konventionellen Herstellung für Tage oder Wochen nötig ist, ist hier nicht oder nur für sehr kurze Zeit erforderlich. Sie verlassen die Praxis gegebenenfalls noch am selben oder am nächsten Tag mit Ihrem neuen Zahnersatz. Somit gibt es auch keinen „offenen Zahn“, der Speisen, Getränken und Keimen ausgesetzt ist.
  • Qualität und Langzeitstabilität: Keramik ist ein hochwertiger, abriebfester und langlebiger Werkstoff. Zudem sind eine hohe Passgenauigkeit und ein präziser „Randschluss" des Zahnersatzes möglich. Dies verringert auch das Risiko einer erneuten Karies und von Zahnfleischentzündungen.

So funktioniert CEREC®:

1. Digitaler Abdruck

Der vorbereitete (präparierte) Zahn wird mit einer 3D-Kamera aufgenommen. So wird die Ausgangssituation innerhalb weniger Augenblicke digital und völlig abdruckfrei erfasst.

2. Digitale Planung

Auf dem Monitor wird das dreidimensionale Bild des Zahnes und der Nachbarzähne dargestellt. Ihre Krone, das Veneer oder Inlay wird nun digital konstruiert – passgenau unter Berücksichtigung der Nachbarzähne und, wichtig für einen harmonischen Zusammenbiss, des jeweiligen Zahns im gegenüberliegenden Kiefer.

3. Computergesteuerte Fertigung

Die digitalen Planungsdaten werden an eine Hightech-Fräseinheit übermittelt, die das konstruierte Restaurationsstück vollautomatisch aus einem kleinen Block hochwertiger Keramik herausarbeitet.

4. Einfügen des Zahnersatzes

Der Zahnersatz kann in der Regel unmittelbar nach der Fertigung eingefügt werden. Das Ergebnis des CEREC®-Prozesses ist eine Restauration, die höchste ästhetische und funktionelle Ansprüche erfüllt.

 

Lassen Sie sich von der Qualität und der natürlichen Schönheit dieser Vollkeramik-Rekonstruktionen begeistern. Wir zeigen Ihnen gern Beispiele.